intransitive verb. 1 : to go or come in. 2 : to come or gain admission into a group : join —often used with into. 3a : to make a beginning entering upon a
1 : one who tends cattle or horses especially : a usually mounted cattle-ranch hand. 2 : a rodeo performer. 3 : one having qualities (such as recklessness,
Is your dryer not heating up? Common reasons for an electric or gas dryer not heating are a tripped circuit breaker, clogged vent, and no gas flow. Other
The upper chambers, the right and left atria, receive incoming blood. The lower chambers, the more muscular right and left ventricles, pump blood out of the
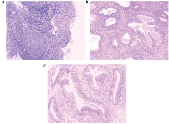
Cystitis glandularis (CG) is an unusual proliferative disorder of the urinary bladder, which is characterized by transitional cells that have undergone